Gum Recession Treatment

What is Gum Recession?

Gum recession happens when the gum tissue slowly pulls away from the tooth, exposing part of the root. There are a few common causes, including:

  • Brushing too hard or using a hard toothbrush
  • Gum disease or inflammation
  • Genetics
  • Teeth grinding or clenching
  • Hormonal changes or ageing
  • Naturally thin gum tissue

If left untreated, gum recession can lead to sensitivity, a higher risk of decay, and noticeable changes to your smile.

Gum lifts in Melbourne
Gum contouring dentist in Melbourne

Signs of Receding Gums

You may notice:

  • Your teeth appear longer than they used to
  • Yellow or notched areas near the gum line
  • Sensitivity to hot, cold, or sweet foods
  • Uneven gums or small gaps between the gum and tooth

Our Treatment: BPA-Free Coverings

We use a non-invasive, tooth-coloured material to gently cover and protect the exposed areas. These custom coverings are shaped to match your natural teeth, helping to:

  • Reduce sensitivity
  • Cover exposed roots
  • Improve the look of your gum line
  • Make brushing and eating more comfortable
Why Patients Choose This Treatment
  • No needles or numbing
  • No damage to healthy tooth enamel
  • Biocompatible and BPA-free
  • Done in a single appointment
  • Removable and reversible

Please note: This is a cosmetic and protective option, not a replacement for treating active gum disease.

Is This Right for You?

This treatment may be a good option if you:

  • Have mild to moderate gum recession
  • Are dealing with tooth sensitivity
  • Want to improve how your smile looks
  • Prefer a non-surgical, low-fuss approach

Before we begin, we’ll always carry out a full dental check to make sure it’s the right fit for your oral health.

A Caring, Holistic Approach

We believe dental care should be personal. That means gentle, thoughtful treatment tailored to your needs. Our goal is to help you maintain long-term oral health in a way that suits your lifestyle and comfort.

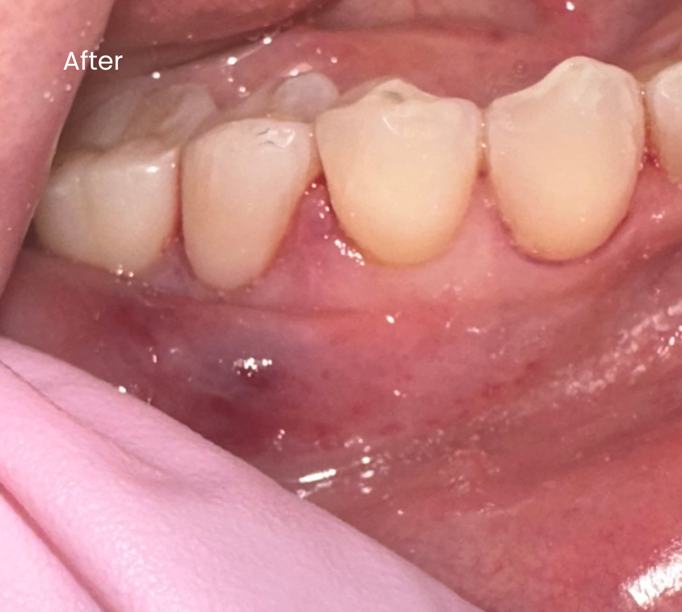
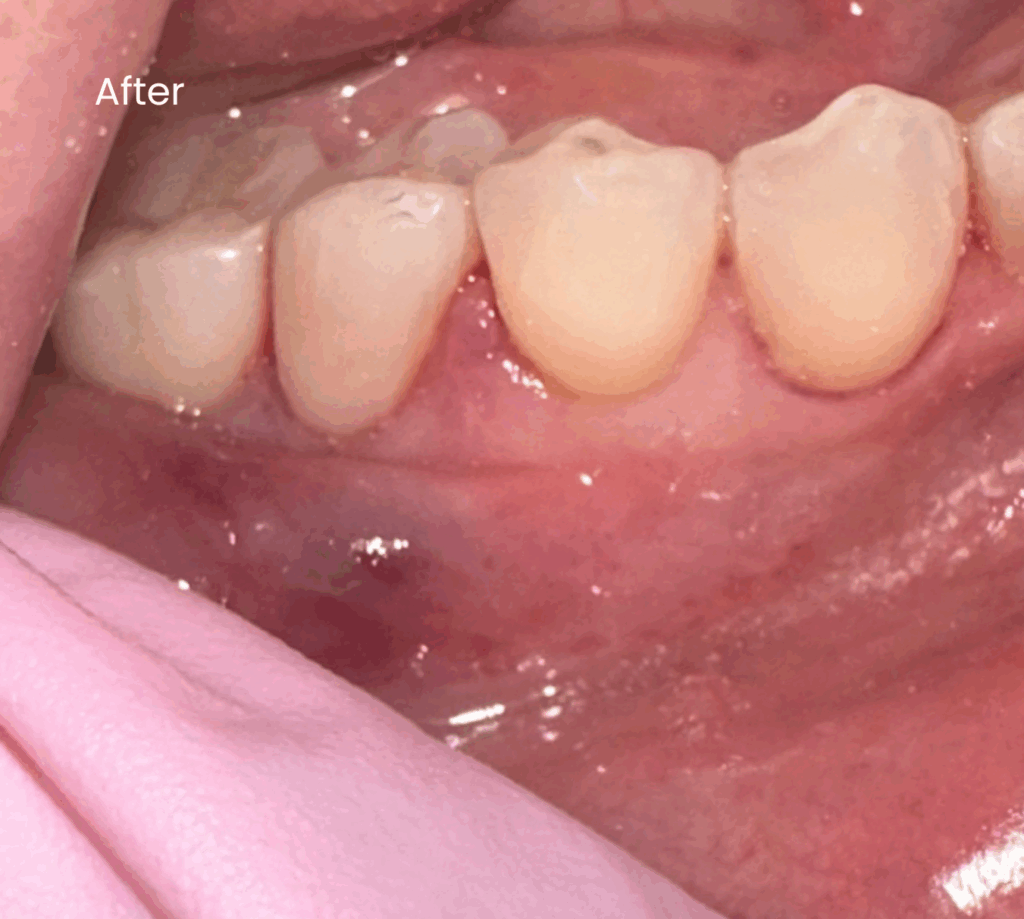
Before & After

Below are examples of the cosmetic outcomes that may be achieved with BPA-free gum coverings. Images are used with full patient consent. Individual results may vary.

Before
After
Before
After
Before
After

Ready to Chat?

We’re here to help you explore your options. If you’d like to learn about gum recession support, book a consultation and let’s take the next step together.

FAQ’s

How much does it cost to treat gum recession in Australia?

Our gum recession coverings are approximately $250 per tooth, depending on the number of teeth required and the location of the gum recession (whether it is a front or back tooth).

What is the most effective treatment for gum recession?

There are different ways to treat gum recession. It depends on the circumstances and the individual goals.

Is fixing a gum recession painful?

Not at all. In most circumstances, the teeth don’t need to be numbed if they’re not sensitive.